با افزایش آگاهی عمومی نسبت به نقش سلامت لثه در موفقیت ایمپلنت دندان، مراجعه به مراکز تخصصی ...
زردی نوزاد می تواند با لباس هایی که به او می پوشانید، تشدید شود، اگر ندانید که اصول لباس پو ...
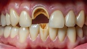
بوی بد دهان، که به آن هالیتوز (Halitosis) نیز گفته می شود، می تواند خجالت آور باشد و در برخی موا ...
مرکز شنوایی سنجی ایران کرج، یکی از جدیدترین و پیشرفتهترین کلینیکها در این کلانشهر است که خدما ...
ایمپلنت دیجیتال بهعنوان یکی از پیشرفتهترین روشهای جایگزینی دندانهای از دست رفته، در سالهای ...
شکستگی استخوان پاشنه، که به آن شکستگی کالکانوئوس یا کالکانئوس نیز گفته میشود، معمولاً در اثر سق ...
آیا نگران سلامتی و راحتی عزیزان سالخوردهتان هستید؟ تیم متخصص ما در خدمات مراقبت از سالمند با در ...
ترک بدون درد و خماری و از کار افتادگی:
پکیج ترک اعتیاد درمانگیاه با ترکیبی از داروهای گیاهی همچون قرص داتورین، همولاکس، حب جدوار و شربت ...
برگزاری کنفرانس علمی یکروزه در بیمارستان گلستان با محوریت ارجاع صحیح و سریع
بیمارستان گلستان در تاریخ ۱ اسفند ۱۴۰۳ (روز چهارشنبه) میزبان یک کنفرانس علمی یکروزه خواهد بود ک ...
مراقبت از سالمندان در منزل
چگونه از سالمندان در خانه مراقبت کنیم؟ راهکارهای ایمنسازی منزل، تغذیه سالم، فعالیت بدنی، رسیدگی ...
دنیای دندانپزشکی، که زمانی با ابزارهای ساده و صدای ترسناک دریلهای قدیمی شناخته میشد، حالا به ل ...
کدام یک از مشکلات شما را مانجارو حل میکند: دیابت یا چاقی؟
تصور کنید راهکاری وجود داشته باشد که هم بتواند به کاهش وزن کمک کند و هم سطح قند خون شما را در وض ...
پرستاری از سالمندان مسئولیتی حساس و ضروری است که نیاز به توجه ویژه، مهارتهای خاص و دلسوزی دارد. ...
شرکت پرستاری آمال سبز طوبی یکی از برترین و معتبرترینهای شرکت پرستاری در تهران است که با ارائه ...
خرید عینک طبی به عنوان یک ابزار پزشکی مهم، به بهبود دید افراد کمک میکند. این عینکها با تنظیم ن ...
محصولات اوردینری، همراهی ایمن برای دوران بارداری
محصولات اوردینری با فرمولاسیون ساده و مؤثر، همراهی ایمن و قابل اعتماد برای زنان باردار هستند.ف ...
پرستاری در منزل به عنوان یک خدمت مراقبتی و بهداشتی، در سالهای اخیر جایگاه ویژهای پیدا کرده است ...
با پیشرفتهای چشمگیر در حوزه دندانپزشکی، روشهای نوینی برای درمان بیدندانی بهویژه با استفاده ا ...
هشدار درباره بازسازی ظروف
هشدار درباره بازسازی ظروف تفلون در مراکز غیرمجاز
کاردرمانی یک رشته توانبخشی است که به افراد در هر سنی کمک میکند تا بتوانند فعالیتهای روزمره خود ...
پروتز سینه یکی از محبوبترین روشهای جراحی زیبایی است که بسیاری از زنان برای افزایش اعتماد به نف ...
علاوه بر تغذیه، مزاج بر سبک زندگی و فعالیتهای روزمره نیز تأثیرگذار است.
مزاج یکی از اصول بنیادین در طب سنتی است که به ویژگیهای طبیعی و سرشتی بدن هر فرد اشاره دارد. این ...
تفاوت لیزیک و کاشت لنز؛ کدام یک برای شما مناسب تر است؟
تفاوت میان عمل لیزیک و کاشت لنز برای بسیاری از افرادی که قصد دارند مشکلات بینایی خود را اصلاح ک ...
کشیدن دندان شکسته
مشکلی که در صورت عدم کشیدن دندان شکسته برای بیمار اتفاق میافتد، بروز عفونت است. به طور معمول دن ...
عوارض پر کردن دندان در بارداری
توجه به عوارض پر کردن دندان در طول دوره بارداری بسیار حائز اهمیت است. مادر باید از تمامی عوارض ا ...
بهترین بیمه برای پوشش هزینه لیزیک کدام است؟
عمل جراحی لیزیک یکی از روشهای محبوب است که برای اصلاح اختلالات بینایی مانند نزدیک بینی، دوربین ...
آزمایش در منزل نارون
آزمایش در منزل در لیست خدماتی قرار دارد که امروزه آزمایشگاه های مختلفی آن را ارائه می دهند و به ...
پر کردن دندان جلو؛ بدون درد و خونریزی
پر کردن دندان های جلو زمانی که چنین خدماتی مورد نیاز است، بسیار حائز اهمیت خواهد بود. دقت کنید ک ...
هزینه جرم گیری دندان چقدر است؟
هزینه جرم گیری دندان در مطبها و کلنیکهای مختلف متفاوت است. با این حال باید در نظر بگیرید که د ...
بهترین روش درمان فتق: لاپاراسکوپی یا جراحی باز؟
عمل لاپاراسکوپی یکی از روشهای پیشرفته و کمتهاجمی برای درمان فتق است که مزایای زیادی از جمله کا ...
بیمارستان امام زمان در مشهد شامل بخشهای مختلفی میباشد که زایشگاه بیمارستان امام زمان در مشهد ن ...
در خانه درمان شوید ما پزشک و پرستار را جهت ویزیت و تزریقات به منزل شما می آوریم
آیا تابحال تجربه دریافت خدمات درمانی در منزل را داشته اید؟ fereshtehnejat.ir در سرما و گرما و آ ...
کرم آگوستا یکی از محصولات محبوب در حوزه مراقبت از پوست است که به دلیل خواص بینظیرش مورد توجه بس ...
ترمیم ایمپلنت دندان
شکست ایمپلنت دندان یکی از مشکلاتی است که به ندرت برای بیماران اتفاق میافتد. این موضوع معمولا به ...
افسردگی بعد از عمل اسلیو معده
در این مقاله به بررسی علل، علائم و راههای مقابله با افسردگی بعد از عمل اسلیو معده میپردازیم تا ...
شرایط ترمیم دندان با کامپوزیت
پر کردن دندان با کامپوزیت و آمالگام امکانپذیر است. با این حال شرایط دندانی فرد تعیین میکند که ...
در کلینیک دندانپزشکی نیکس، ایمپلنتهای دندانی عمدتاً از دو ماده اصلی ساخته میشوند: تیتانیوم و ز ...
دلیل بیرون زدگی غضروف بینی بعد از عمل چیست؟
جابجایی غضروف بینی بعد از عمل معمولا به دلیل سهل انگاری جراح یا وارد شدن ضربه به بینی اتفاق می ا ...
دکتر محمدحسین دلشاد، رئیس کنگره درد ایران:
دکتر محمدحسین دلشاد، نایب رئیس انجمن درد ایران، با توجه به تخصص خود از آمار مراجعین و مشکلات آن ...
برداشتن کیسه صفرا
در نهایت، افزایش وزن پس از برداشتن کیسه صفرا میتواند نتیجه تغییرات متابولیکی و گوارشی باشد، اما ...
مشکلات چشمی چگونه ظاهر می شوند؟
چشمان ما گنجینهای از زیبایی و حساسیت هستند، اما گاهی مشکلاتی در آنها بروز میکند که ممکن است ا ...
چه جراحی هایی با لاپاراسکوپی انجام می شوند؟
جراحی لاپاراسکوپی به عنوان یکی از پیشرفتهترین روشهای جراحی در دنیای پزشکی شناخته میشوند که به ...
مراقبت های بعد از عمل جراحی کیسه صفرا
عمل جراحی کیسه صفرا یکی از انواع جراحیهایی است که بسیاری از افراد به آن نیاز پیدا میکنند. اما ...
علت دندان درد بعد از عصب کشی و درمان آن
درد دندان بعد از عصب کشی مشکلی است که برای برخی از بیماران بروز پیدا میکند و برای بعضی دیگر اتف ...
انتخاب برند و کشور سازنده ایمپلنت میتواند تأثیر قابل توجهی بر هزینه و کیفیت درمان داشته باشد. ...
کاهش وزن با لاپاراسکوپی کیسه صفرا
بسیاری از افراد فکر میکنند که بعد از برداشتن کیسه صفرا فرد دچار لاغری میشود، اما این روند برای ...
بعد از اسلیو معده چی بخوریم؟!
بعد از عمل اسلیو معده، با تغییر سایز معده سیستم گوارشی بدن تغییر میکند و بیمار زیر نظر پزشک نیا ...
فمتوکاتاراکت
فمتوکاتاراکت یکی از روشهای جراحی لیزر آب مروارید است. امروزه استفاده از لیزر در درمان بیماری آب ...
فناوری اینترنت اشیاء (IoT) یکی از نوآوریهای مهم در حوزه تعمیرات تجهیزات پزشکی است. آموزشگاه آپا ...
جراحی بای پس معده
برای کسانی که به دلیل چاقی مفرط قصد دارند عمل جراحی بای پس معده را در شهر تهران انجام دهند، انتخ ...
درباره عمل اسلیو معده بیشتر بدانید
زمانی که اضافه وزن دارید و تغییرات سبک زندگی مانند رژیم غذایی و ورزش کردن به کاهش وزن شما کمک نک ...
چرا اسلیو معده؟
عمل اسلیو یکی از معروف ترین انواع جراحی چاقی برای کاهش وزن است که برای درمان چاقی به بیماران با ...