برای بسیاری از بیماران، زمان یکی از مهمترین فاکتورها در درمانهای دندانپزشکی است. از دست د ...
بررسی مزایا و معایب کامپوزیت دندان 1402
به لطف پیشرفت های علم دندانپزشکی، داشتن لبخند زیبا و هالیوودی دیگر یک رویا نیست. شما می توانید ب ...
مشکلات دندان در دوران بارداری
راهکارهای مراقبت از دندان در زمان بارداری برای جلوگیری از مشکلات پیش رو
بهترین مرکز زیبایی برای تزریق بوتاکس در بابل
تزریق بوتاکس یکی از اقدامات زیبایی برای درمان چین و چروکهای موجود در پوست صورت است. بوتاکس با ا ...
عینک شب یا نیتویژن، یک وسیله با قابلیت تقویت دید در شرایط نور کم است. معمولاً در مکانهایی مانن ...
روشی نوین در جراحی زیبایی
تزریق چربی به عنوان یک روش مدرن در جراحی زیبایی برای گرد شدن صورت جلوهای طبیعی و جوانانه به افر ...
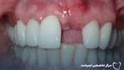
معرفی بهترین فوق تخصص ایمپلنت در تهران
متخصص ایمپلنت دندانی علاوه بر تحصیلات عمومی دندانپزشکی، دوره تخصصی در زمینه پروتز دندان و ایمپلن ...
درمان آلرژی ناشی از آنفولانزا
آلرژی و سرفه دو عارضه شایع هستند که میتوانند ناشی از سرماخوردگی، آنفولانزا، یا سایر عوامل تحریک ...
وان جکوزی و کاهش وزن
یکی از فواید اصلی وان جکوزی برای لاغری، کاهش وابستگی به مصرف داروهای ضدافسردگی است. وان جکوزی بط ...
دکتر نیلفروش زاده که یکی از شناخته شده ترین متخصصین پوست و مو هستند و در سراسر دنیا نیز فعالیت م ...
بهترین دکتر کاشت مو ایران
دکتر نیلفروش زاده یکی از بهترین متخصصان کاشت مو در ایران هستند که با بهرهگیری از جدیدترین و بهت ...
ایمپلنت های دندان ساخت کشور سوییس
ایمپلنت سوئیسى به صورت کاملاً دائمى در جایگاه خود قرار مى گیرد، طول عمر آن بسیار بالاتر است. با ...
امیرحسین هشترودی و سایر اعضای صنف موبایل ایران امید بخش و یاری رسان بیماران در صدد جستجوی بیمارس ...
مقایسه مواد سازنده طراحی لبخند هالیوودی
به طور خلاصه، کامپوزیت و لمینت دو روش مؤثر برای تغییرات جزئی و کامل در ظاهر دندان ها هستند. با ت ...
روش استفاده از mta
MTA یک ماده مهم در زمینه دندانپزشکی است. MTA یک اختصار است برای "متاکریلاتریکالت آلی". این ماده ...
جزییات کاشت ایمپلنت فوری
ایمپلنت فوری یک روش پزشکی است که برای جایگزینی دندان های گم شده استفاده می شود.با استفاده از این ...
نقاهت تزریق چربی یک روش جراحی زیبایی است که در آن چربی از نقاط مختلف بدن برداشته شده و در نواحی ...
معرفی مراکز معتبر نامدار دندانپزشکی تهران
مناطق چندگانه تهران متخصصین دندانپزشکی و کلینیک ها و مطب های دندانپزشکی بسیار زیادی دارد از میان ...
راهکاری موثر برای رفع گودی زیر چشم
گودی زیر چشم یکی از مشکلات زیبایی معمول است که بسیاری از افراد با آن روبرو میشوند. این مشکل ممک ...
اگر در مورد ابتلا به سرطان سینه نگران هستید، ممکن است از خود بپرسید که آیا اقداماتی برای کمک به ...
از بین رفتن همه دندانها با فقدان یک دندان
متخصص لثه و کاشت ایمپلنتهای دندانی در خصوص اینکه چگونه از دست دادن یک دندان موجب از بین رفتن تما ...
تکنولوژی جدید کاشت دندان
ایمپلنت دندان دیجیتالی، یک روش پیشرفته و دقیق برای جایگزینی دندان های از بین رفته است . این روش ...
بدون شک، لبخند یکی از ارزشمندترین هدایاهایی است که می توانیم به دیگران بدهیم. یک لبخند زیبا و د ...
لمینت دندان چگونه انجام می شود؟
لمینت یکی از روشهای درمانی دندان است که به جنبههای زیبایی دندانها توجه دارد. این فرآیند به اف ...
از رویا تا واقعیت
تزریق چربی یک روش محبوب در زمینه بهبود ظاهر و شکل بدن است که به عنوان یک راه حل غیر جراحی برای ا ...
کپسول اکسیژن: مفهوم، کاربردها و مزایا شارژ کپسول اکسیژن در مناطق تهران: خدمات، مکانها و راهکار ...
شورت یکبار مصرف وکاربرد آن در دنیای امروز
شورت یکبارمصرف که استفاده از آن در دهه اخیر بسیار فراگیر و رایج شده جز تولیدات پرفروش این روزها ...
حوله یکبارمصرف چیست و چه کاربردی دارد ؟
باند پیچی چیکار میکنه؟سعی میکنه در سریعترین زمان ممکن سفارش شما رو با بهترین قیمت به دستتون برس ...
آیا تا به حال نام بیماری دو قطبی به گوشتان خورده است؟ بیماری و اختلالی روانی که باعث میشود فرد د ...
بیماری حرکت ; motion sickness
از آنجایی که بیماری حرکت در کودکان 2 تا 12 ساله شایع تر است و کودکان در این باره آسیب پذیرتر هست ...
مزایا و ریسکها
دیابت نوع 2 یکی از بیماریهای مزمن رایج در جوامع جهانی است و افراد دیابتی معمولاً به مشکلات پوست ...
چگونگی انتخاب متخصص ایمپلنت خوب در تهران
معرفی یکی از معروفترین متخصصان دندانپزشکی در تهران مبدع روش ایمپلنت در یک روز
معرفی بهترین قرص های افزایش میل و عملکرد جنسی در بانوان و آقایان
فنون پیشرفته در تزریق چربی
تزریق چربی یک روش پرکاربرد در جراحی زیبایی است که برای افزایش حجم و ترمیم نقاط مختلف بدن مورد اس ...
چگونگی خوابیدن بعد از جراحی کاشت دندان
برای کاهش در و مشکلات بعد از کاشت دندان و نحوه خوابیدن روی بالش از چه روشهایی می توانیم استفاده ...
نقش تکنولوژی در آموزش بلفاروپلاستی
در این مقاله، ما به بررسی نقش بینظیر تکنولوژی در فرایند آموزش و ارتقای کیفیت بلفاروپلاستی - یکی ...
عمل جراحی فیستول چگونه است
فیستول مقعدی از دردناکترین بیماری های ناحیه نشیمنگاهی می باشد که معمولاً در اثر بی توجهی به درم ...
درمان سریع زگیل تناسلی در خانه
زگیل تناسلی نوعی بیماری مقاربتی شایع است که از طریق ویروس hpv منتقل میشود. متاسفانه تا به امروز ...
بهترین انواع ایمپلنت دندان که تا به حال چیزی از آنها نشنیدهاید!
قیمت مدل های مختلف ایمپلنت دندان برای بسیاری از افراد عادی گیجکننده است. بنابراین چطور باید از ...
برند موبان بهترین برند شامپو و نرم کننده برای سالن های زیبایی
برای داشتن موهای سالم و درخشان انتخاب شامپو ونرم کننده مناسب یکی از مهم ترین گزینه هاست. بهترین ...
زگیل تناسلی مردان
زگیل تناسلی مردان نوعی عفونت مقاربتی و از جمله بیماریهای به شدت مسری است. این بیماری باعث میشو ...
یکی از رایجترین درمانهای دندانپزشکی که هر فردی را در طول دورهای از زندگی خود تحت تاثیر قرار م ...
فیشورسیلانت تراپی در دندانهای کودکان: پیشگیری از تخریب دندانی
فیشورسیلانت تراپی یک روش پیشرگیرانه در مراقبت از دندانهاست که با استفاده از یک لایه محافظ رزینی ...
همه چیز در باره برند کدکس
برای جلوگیری از بارداری های ناخواسته و بیماری های ناشی از آمیزش جنسی بهترین گزینه استفاده از کان ...
عمل بواسیر
بیماری بواسیر یا هموروئید تورم سیاهرگ های مقعد است. این سیاهرگ به مرور به حدی متورم میشوند که ب ...
دکتر فرهاد صبری
طب سوزنی یا اکوپانکچر (Acupuncture) یکی از تکنیکهای درمانی سنتی چینی است که با استفاده از سوزن ...
یک نگاه به اهمیت و ایمنی
تزریق چربی به عنوان یک روش پرطرفدار برای بهبود ظاهر و شکل بدن، به طور گسترده ای مورد استفاده قرا ...
در این مقاله، به بررسی تفاوت بلفاروپلاستی با دیگر عمل های چشم می پردازیم. هدف ما این است که به ش ...
بررسی مشکلات احتمالی کاشت دندان
عوامل عفونت و درد پس از جراحی کاشت دندان را در این یادداشت بررسی میکنیم
دیگر از دندانپزشکی نمی ترسید
معرفی شیوه جدید دندانپزشکی برای افرادی که فوبیای دندانپزشکی دارند
فرآینده پروسه ترکیب استخوانی ایمپلنت
مدت زمان ادغام استخوانی ایمپلنت دندان یکی از عواملی است که طول درمان ایمپلنت را تعیین میکند که م ...